Dental Implants: Case 11
Description
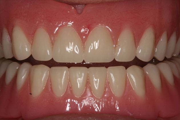
58 year old female who was missing all of her upper & lower teeth. Dental implants were placed in the upper and lower jaws. Bars were made to fit over the implants and dentures were made to snap into the bars. Patient can now eat anything she wants without the dentures moving. This case will eventually be converted to a fixed permanent bridge when the patient is ready.






